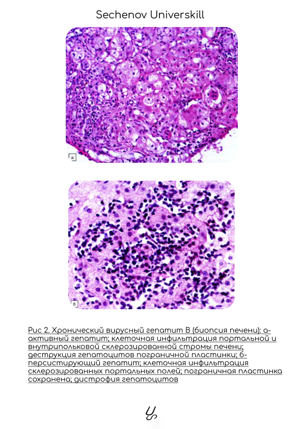
Патанатомия гепатита
Продолжаем разбирать гепатит! Сегодня поговорим о патанатомии гепатита B, методичка очень подробная и будет полезна каждому :)
На этом все (:
Не забудь сохранить эту страничку на будущее
Что дальше?
1. Регистрируйся на бесплатный мастер-класс и получи следующий бонус, который поможет тебе начаться учиться в меде в кайф (он проходит в ВК)
2. Подпишись на наши соц сети
3. Ты можешь ознакомиться с другими нашими статьями перейдя по этой ссылке
Наши соц сети
Индивидуальный предприниматель Аулов Александр Андреевич
ОГРН ИП 319774600307273
ИНН 772830395578
Телефон +79055717038
E-mail: sechenovuniverskill@yandex.ru
авторизуйтесь